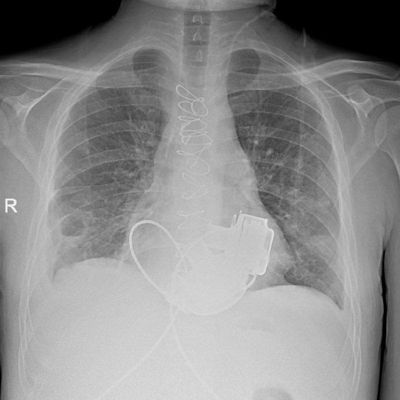
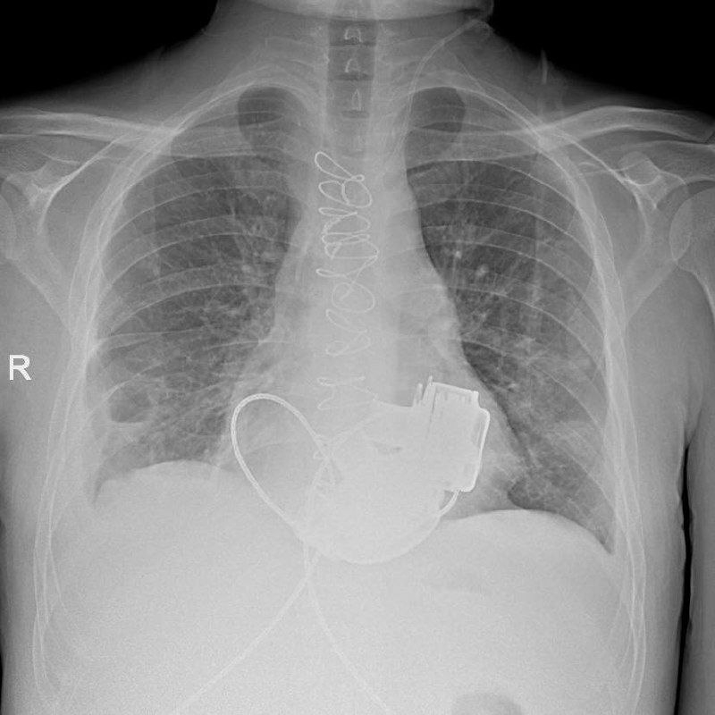
Как рассказали в пресс-службе комитета по здравоохранению Петербурга, в стационар Мариинской больницы 36-летний Антон поступил сразу с несколькими тяжелейшими диагнозами. Его показатели работы сердца были такими, будто человек уже не жив, а мёртв. Трансплантация сердца, которая показана в таких ситуациях, была невозможна из-за ряда осложнений. Тогда медики приняли решение провести непростое кардиохирургическое вмешательство – имплантацию искусственных желудочков. Обычно пациентам вживляют одно такое устройство, однако Антону потребовалось сразу два прибора. Потом пульс на запястье или шее у таких людей не прощупывается.
Послеоперационный период для мужчины был не простым, однако сейчас он уже научился жить с двумя приборами в теле и готов к выписке.
В региональном комздраве назвали имплантацию искусственных желудочков "мостиком" к трансплантации сердца. Пациент надеется, что вскоре сможет получить донорское сердце.
